内容来源:石家庄苏亚美联臣精品美容牙科 2013-05-04
美国彩光皓齿美白
石家庄苏亚美联臣美国彩光皓齿美白技术采用低温纳米光,完全避免了操作过程中对牙神经的刺激而引发的不适感,亲水性药物和完全不接触牙龈的美白过程,不会造成对牙齿及珐琅质的任何损伤。做一次皓齿美白大约是40分钟左右,在原有的牙齿牙色基础上可以提高5-10个色阶,当场就可以看见明显的效果。
美国彩光皓齿美白打破了传统冷光美白的局限性,克服了传统冷光美白时牙齿酸痛,美白后牙龈过敏的窘境。具有高效快速、保护牙齿、舒适不疼痛、效果持久等优点,迅速受到需要牙齿美白顾客的青睐。

德国vita美容冠美白
美容冠,堪称牙齿美白中的钻石经典。由于其绝佳的光学性质、极好的生物相容性、逼真的色泽,看上去更自然、更美观,而且使用时间长,也不会出现牙龈黑线或变色的现象,深受时尚一族的青睐,尤其是格外注重形象外表的明星和公众人物,美容冠更是您的美牙首选。
德国vita美容冠美白技术采用数码科技,准确分析你的牙齿形态以及病症, 再采用3D定位系统,由专业的美容牙医为你制定美牙方案,成形后的牙齿美观大方,无基托、无卡环,同真牙无异,满足你的美观需求。

德国VITA牙贴面美白
德国VITA牙贴面采用全新高科技生物材料,应用独特工艺上色,形态美观、色泽自然逼真。它最薄可至0.2mm,硬度达400Mpa,美观大方,经久耐用,无需备牙,维护简易,能帮助求美者快速重展迷人笑容。
适应症:四环素牙、氟斑牙、增龄性变黄、牙釉质发育不全、牙齿间隙过大、牙齿缺损、乳牙滞留、牙齿过小、瓜子牙。

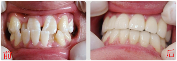
美国隐形牙齿矫正
美国隐形矫正技术,是根据每个人的实际情况,通过计算机辅助三维诊断、设计和制造系统,用一系列个性化的透明矫治器,来完成矫治的牙齿矫正技术,定位精准、清洁方便等优点。
适应症:个别牙错位、牙列拥挤、牙齿不整齐、牙间隙、前牙反合(地包天、凹面型)、前牙深覆盖(龅牙、凸面型)、前牙深合(或深覆盖)、下颌短缩面型、双颌前突、口唇前突和前牙开合(窄长面型)。

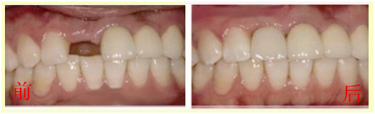
韩式微创种植牙
韩式微创种植牙是在传统种植牙的基础上用特殊的手术方式和技术来完成种植牙的植入过程,利用微小切口(3~4毫米)将人工牙根“种”入口腔内,摆脱了传统种植牙切开翻起牙肉、缝合、拆线等步骤,将创伤降低到最小程度,大大减少了肿痛和出血量。
韩式微创种植牙大幅度缩短了种植过程所需的时间(种植过程仅需15-30分钟),而且减少了感染的风险,术后几乎不会疼痛和肿胀,是国际上广泛应用的种植方式。