

水晶锆全瓷美牙冠作为美联臣口腔美容冠的全新主推美容冠技术,水晶锆全瓷牙冠借助数码定位技术,精准分析牙齿形态;VITA比色技术,以29阶牙色层次化类比,调配出最合适的牙色;采用CAD/CAM切锁设备,配以水晶二氧化锆瓷块,告别传统手工制作蜡型、包埋、铸造、喷沙、打磨等系列繁琐的工序,结合美学设计成型后的修复体边缘,邻接形态咬合、颜色达到,实现再造自然牙形态,成就自然通透、色泽温润、形态唯美的明星皓齿。
什么情况需要做美容冠修复
· 因外伤而折断的牙齿或残留的牙根,如牙根有足够的长度,牙周情况良好
· 牙齿颜色或形态不佳,如四环素牙、氟斑牙、锥形小牙等
· 牙列形态异常又不宜做正畸治疗的患者
· 牙齿缺失,缺失数目较少,邻牙健康
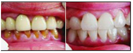
· 龋齿或者牙齿缺损较大,牙齿变色呈灰色或黄褐色,可通过烤瓷牙恢复美观及增加强度。
不要烤瓷牙,已经out
· 避开“致癌”烤瓷牙
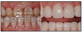
传统镍铬烤瓷牙毒性很大,并且会导致人体镍的升高。对安装了镍铬烤瓷牙的患者进行尿液检测,数据显示镍含量超标13倍。同时患者口腔里有金属析出现象,并引发牙龈糜烂等症状。铬是作为五大重金属之一,对皮肤呼吸道肠胃黏膜均有损害。铬进入人体细胞,对肝、肾等内脏器官和DNA造成损伤,在人体内蓄积具有致癌性并可能诱发基因突变。因为镍铬烤瓷牙的美观性差和毒性问题,在西方发达国家早已被淘汰。
· 只选对的不选贵的
安装烤瓷牙不是越贵越好。烤瓷牙的材质并不是判断假牙好坏的唯一标准。更重要的是烤瓷牙的设计,制作工艺和安装过程中医生的水平。如果设计不合理,选择的烤瓷牙种类,不适合口腔内的实际情况,即使使用最贵的材料,也不一定会有好的质量效果。在设计正确的前提下,制作精确、贴合和咬合对位、合适对安装烤瓷牙而言才是最重要的。安装烤瓷牙是选择信誉好的正规医疗机构,然后再去安装烤瓷牙,这样才能避免安装烤瓷牙后重复出现问题。
想了解美容冠与烤瓷牙具体区别,点击咨询在线医生。
vita水晶锆美容冠的优势
【通透美观】
水晶锆全瓷牙冠拥有极佳的通透性和生物相容性,借助VITA比色技术,以29阶牙色层次化类比,充分考虑到患者个性化的需求,注重患者牙周、原有牙齿色泽,调配出最适合牙色,用良好的透明性和折光性解决了金属冠在牙颈造成“黑线”及其他各种问题,色泽与天然牙无异,达到普通烤瓷牙难以匹及的通透性,让人难以察觉。形态唯美、自然通透、色泽温润,相比传统烤瓷牙冠更舒适、更自然、更美观
【安全精准可靠】
全程计算机处理分析,使用先进的3D数字CT扫描比传统取模更准确的呈现出牙齿状态,根据患者不同情况,大量应用黄金比例,度身定制;可即刻预观最终效果,避免重复返工,采用CAD/CAM切锁设备,选择顶尖全瓷牙冠修复。告别传统手工制作蜡型、包埋、铸造、喷沙、打磨等系列繁琐的工序。配以氧化锆瓷块,修复体边缘,邻接形态咬合、颜色达到,实现再造自然牙形态。
【超长使用寿命】
水晶锆全瓷冠经高水平制作安装后自然美观,与自然牙无异,坚固耐磨,边缘密合性也高,能有效避免金属刺激引起的牙龈变色、红肿及出血等现象,并且水晶锆全瓷牙冠的生物相容性良好,不刺激口腔组织,保护牙龈健康。在口腔内的适应性高与其他传统普通烤瓷牙,在保护良好的情况下寿命大大长于普通烤瓷牙。
【医生】
对于美容冠来说,医生的技术永远排在第一位。美联臣口腔美学修复中心拥有数十位美学修复医生,其中有谙熟国内外口腔美学修复材料的主任医生、也有曾在中国香港、德国、日本等国内外院校机构深造、交流经验的口腔美学修复医生,十余年专注于牙齿美学修复,技术精湛。美联臣口腔医院美学修复中心将美学理念融入传统修复,实现功能重建牙齿与面部、唇部等协调自然,制定美学标准,推动了口腔医学修复学的发展。并采用医生会诊制度,针对客户的面貌特征、职业需求、个人爱好定制专属的诊疗方案。
更多问题,点击咨询在线医生。



