
牙冠又称牙套,也即人工牙冠,可由不同材料制成,是修复缺损牙齿、美化难看牙齿的一种常用方法。根据制作材料不同,牙冠可以分成很多种类,常见的有烤瓷牙冠、贵金属牙冠、全瓷牙冠等。牙套的危害是什么?医生指出,牙套的危害主要是指烤瓷牙套的危害,详细可免费点击在线咨询进行了解。

哪种牙冠材料好?石家庄做牙冠多少钱?……更多牙冠详细知识可免费点击 在线咨询 进行了解。
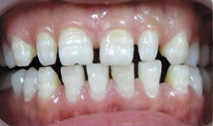
1.牙齿间隙大
2.患有龋齿
3.牙本质过敏
4.牙体大范围缺损
5.牙齿咬合不正、邻接不良或牙冠短小、折断
6.牙齿变色

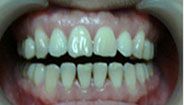
1.牙冠折断或半切除者
2.牙冠短小、畸形者
3.牙冠龋化、牙本质过敏者
4.牙齿稀疏者
5.牙体缺损者
6.氟斑牙、四环素牙、烟渍牙等牙色异常者
注:部分患者口腔情况特殊,还需要进行根管治疗。欲了解哪些牙冠修复患者需要进行根管治疗,可详细咨询在线专家。另外对于做过根管治疗的患牙,同样需要做牙冠进行保护和美化。做牙冠多少钱?免费点击 在线咨询 即可详细了解。
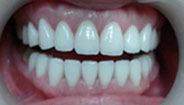
1.恢复牙齿正常咬合功能和咀嚼功能
2.更好地保护牙齿
3.改善颜面美观、提升个人形象
4.安全无痛,不伤牙根及邻牙
5.快速舒适,美联臣牙科权威医院牙冠修复显著缩短治疗时间

牙冠材料直接影响做牙冠后的修复、美容效果,常用几种材料牙冠特点如下:
1.不锈钢牙冠——批量生产,匹配相近型号,适用不是十分精确
2.烤瓷牙冠——内部是一层很薄的金属,可由不同材料制成;外部是白色陶瓷材料
3.全瓷牙冠——由全瓷材料制成,强度大、性质稳定且非常美观;全瓷牙冠可根据材料不同分成多个种类

除此之外,牙冠材料还有镍铬合金、纯钛、贵金属等很多种,具体可详细咨询在线专家进行了解。
Q:石家庄做牙冠多少钱?
A:做牙冠的价格首先与地区物价水平成正相关,也即当地物价水平高,做牙冠的费用也会相应提高。石家庄物价水平一直较周边地市更低一些,所以石家庄做牙冠价格也相对较低。至于石家庄做牙冠具体价格,与所选择的牙冠材料和做牙冠方法、医院档次和收费标准、医生水平和资历等都有很大关系,详细情况需要咨询在线专家,免费点击 在线咨询 即可。