
美容冠是一种目前流行于欧美日韩的新兴牙齿矫正技术。该技术既能矫正歪斜牙齿,又能对牙色进行美白。美容冠具有美牙不拔牙、苦、时间短、牙齿坚固、多年后牙龈不会出现黑线等显著优点,能够达到长期有效的美牙效果。很多进行美容冠后的人都表示:“美容冠确实如同其名,是牙齿美容很好的选择。”关于美容冠的原理、美牙过程等更多详细知识,可咨询在线医生进行了解。》》》在线咨询
适用人群:
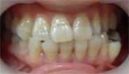
1.龅牙、虎牙、地包天、牙列不齐、牙冠畸形等各种畸形牙患者
2.黄牙、黑牙、氟斑牙、色素牙、四环素牙等各种牙色异常者
3.牙冠畸形和牙色异常兼而有之者
4.对牙冠外形及色泽要求精益求精者
5.时间宝贵、希望牙齿美容速战速决者
6.想要迅速提升形象、拥有明星般美牙者
注:以上牙齿难看患者并不是都能做美容冠,还有一些特殊病例需要排除,具体可结合自身情况详细咨询在线医生,以准确了解自己是否适用美容冠。
优势:
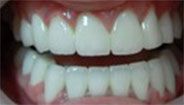
1.美观实用:美容冠采用3D数字化定位系统和VITA比色技术,全面改善牙冠外形和色泽、提升牙齿美观功能和咀嚼功能。
2.高效迅速:整个牙齿美容过程只需短短7天,大福提升美牙效率、方便快捷。
3.个性尊贵:精益求精的齿雕技术实现个性化美齿,专属美丽彰显尊贵气质,令美牙者身份更尊贵。
4.安全:安装美容冠全程采用技术且无酸涩感,对牙龈、牙根均无刺激。
5.坚固持久:利用美容冠修正后的牙齿可长期预防龋害,且美牙效果可长久保持。
正常情况下只需7天,但病例以及护理不同,美容冠的恢复时间也有差异,具体需结合自身口腔问题详细咨询在线医生。 

1.美容冠术后避免吃过硬的食物,要从软质食物开始食用。再者美容冠初期与修复前相比,上下牙尖对位不同,要缓慢进食,以免咬伤颊舌粘膜。
2.美容冠牙齿修复后要养成注意清洁的好习惯,避免食物残渣的堆积。美容冠和真牙的接缝处容易聚集残渣,生成牙菌斑,形成牙石。所以一定要注意清洁,避免牙垢的再度产生。
3.美容冠配戴不合适或压迫粘膜引起疼痛者,应及时复诊修理。要养成定期复诊的好习惯,一旦有不适感可以及时由医生进行诊疗
4.是否适合美容冠很难自己做出判断,须在医生指导下详细掌握自身适用情况,因而建议爱美人士先就自己口腔问题认真咨询在线医生,继而在其指导下更好地进行牙齿美容。
Q:为什么用美容冠进行牙齿美容只需要7天?做美容冠需要多少钱?
A:美容冠牙齿美容只需要7天使针对于多数牙齿健康人士而言的,具体做美容冠需要多长时间可参见http://www.meiya0311.com/kqzx/343.html。美容冠是一种集牙齿美白和牙齿矫正于一体的高效美牙方法。运用美容冠进行美牙,无论是美白还是矫正,都只需要在第一次到院时配合医生获取自身牙齿信息并明确表述自己的理想牙齿形态,在7天后第二次到院时由医生为之进行试戴、调试并最终固定,即可完成整个牙齿美白或牙齿矫正过程。
美容冠的价格与美容冠材料直接相关,二氧化锆美容冠与普通金属美容冠的性能和美观度差别很大,价格自然不同。除材料以外,地区物价水平、医院档次、医生技术和患者口腔情况等很多因素都会影响美容冠的费用。结合具体情况详细咨询在线医生便可知道美容冠费用的具体数字,点击咨询。
1.想要在尽量短的时间内进行牙齿美容、迅速拥有美牙
2.希望一次牙齿美容、终身保障
3.牙冠畸形或牙色异常
4.牙齿咬合不正
5.对牙冠形态和功能有较高要求
1.龅牙、虎牙、地包天、牙列不齐、牙冠畸形等各种畸形牙患者
2.黄牙、黑牙、氟斑牙、色素牙、四环素牙等各种牙色异常者
3.牙冠畸形和牙色异常兼而有之者
4.对牙冠外形及色泽要求精益求精者
5.时间宝贵、希望牙齿美容速战速决者
6.想要迅速提升形象、拥有明星般美牙者
注:以上牙齿难看患者并不是都能做美容冠,还有一些特殊病例需要排除,具体可结合自身情况详细咨询在线专家,以准确了解自己是否适用美容冠。
1.美观实用:美容冠采用3D数字化定位系统和VITA比色技术,全面改善牙冠外形和色泽、提升牙齿美观功能和咀嚼功能。
2.高效迅速:整个牙齿美容过程只需短短7天,大福提升美牙效率、方便快捷。
3.个性尊贵:精益求精的齿雕技术实现个性化美齿,专属美丽彰显尊贵气质,令美牙者身份更显尊贵。
4.安全无痛:安装美容冠全程采用无痛技术且无酸涩感,对牙龈、牙根均无刺激。
5.坚固持久:利用美容冠修正后的牙齿可长期预防龋害,且美牙效果可长久保持。
1.美容冠术后避免吃过硬的食物,要从软质食物开始食用。再者美容冠初期与修复前相比,上下牙尖对位不同,要缓慢进食,以免咬伤颊舌粘膜。
2.美容冠牙齿修复后要养成注意清洁的好习惯,避免食物残渣的堆积。美容冠和真牙的接缝处容易聚集残渣,生成牙菌斑,形成牙石。所以一定要注意清洁,避免牙垢的再度产生。
3.美容冠配戴不合适或压迫粘膜引起疼痛者,应及时复诊修理。要养成定期复诊的好习惯,一旦有不适感可以及时由医生进行诊疗
4.是否适合美容冠很难自己做出判断,须在医生指导下详细掌握自身适用情况,因而建议爱美人士首先就自己口腔问题认真咨询在线专家,继而在其指导下更好地进行牙齿美容。
Q:为什么用美容冠进行牙齿美容只需要7天?做美容冠需要多少钱?
A:美容冠牙齿美容只需要7天使针对于多数牙齿健康人士而言的,具体做美容冠需要多长时间可参见http://www.meiya0311.com/kqzx/343.html。美容冠是一种集牙齿美白和牙齿矫正于一体的高效美牙方法。运用美容冠进行美牙,无论是美白还是矫正,都只需要在第一次到院时配合医生获取自身牙齿信息并明确表述自己的理想牙齿形态,在7天后第二次到院时由医生为之进行试戴、调试并固定,即可完成整个牙齿美白或牙齿矫正过程。
美容冠的价格与美容冠材料直接相关,二氧化锆美容冠与普通金属美容冠的性能和美观度差别很大,价格自然不同。除材料以外,地区物价水平、医院档次、专家技术和患者口腔情况等很多因素都会影响美容冠的费用。结合具体情况详细咨询在线专家便可知道美容冠费用的具体数字。