项目介绍

    龅牙矫正即针对龅牙问题所进行的矫正。龅牙是东方人种中一种非常常见的牙颌面畸形,表现为上颌前凸畸形或者双颌前凸畸形。龅牙虽然不伴有严重的功能障碍,但是非常影响颜面美观,对个人形象有很大的负面作用。目前龅牙矫正方法已经不一而足,如何选择适合自己的方法快速矫正龅牙成为很多人关注的重点。

自我诊断:您是否需要龅牙矫正

1.咀嚼肌肥厚

2.脸型较短较宽

3.鼻子短塌、歪斜

4.鼻孔外露

5.唇厚

适用人群

1.先天性脸型较宽较短、唇厚等需要矫正的龅牙患者

2.天生鼻子塌陷、歪斜等需要矫正的龅牙患者

3.因意外事故导致鼻孔外露需要矫正的龅牙患者

4.饮食习惯导致咀嚼肌肥厚需要矫正的龅牙患者

优势

1.矫正龅牙过程中拔牙率显著低于行业平均水平,更加安全。

2.立体式精细化龅牙矫正,不仅快速矫正龅牙,还能显著改善脸型。

3.龅牙矫正全程轻松舒适,避免了使用传统矫正器产生的异物感及其他不适。

4.龅牙矫正效率大幅提高,时间较传统矫正方法缩短1/3。

5.矫正龅牙后复诊次数减少,更加方便简捷。

6.透明材料完全隐形,丝毫不影响正常生活与社交。

7.安全持久长期不反弹。

恢复时间

        7天~1年,不同口腔情况所致矫正难度不同、方法不同,龅牙矫正的时间也就不同,因此需要龅牙患者结合自己情况详细咨询在线专家

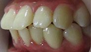
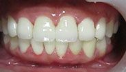
对比案例

             


温馨小贴士

1.龅牙矫正初戴时应吃软的食物,适应后再吃正常食物。

2.龅牙矫正后会有轻度不适感患者应耐心练习使用,逐渐适应。

3.龅牙矫正初期与修复前相比,上下牙尖对位可能会有变化,要缓慢进食,逐渐适应,以免咬伤颊舌粘膜。

4.龅牙矫正后初期避免吃过凉过热的食物,以免引起激发痛。大约两周以后可以正常进食

5.龅牙矫正后应注意保持口腔清洁,养成餐后刷牙的习惯,牙缝间可以使用牙线清洁,并定期到机构检查、洁牙

问答中心 FAQ

Q:除了影响美观外,龅牙不矫正还有哪些危害?什么年龄矫正龅牙效果最好?

A:龅牙除了使嘴唇变厚、造成鼻孔假性外露影响掩面美观外,龅牙还会造成下巴后缩、脸型短宽以及咀嚼肌肥厚等问题,另外还可能导致鼻子短、塌或歪斜,从而对身体健康产生较大影响。

矫正龅牙一般情况下并没有严格的年龄限制,只不过不同年龄段、不同口腔状况的龅牙患者需要选择不同的牙齿矫正方法,否则很可能达不到理想效果。因此,龅牙患者建议结合自身实际情况、严重程度详细咨询在线专家,以便找到适合自己的龅牙矫正方法。

联系电话在线咨询
免费咨询热线
在线咨询QQ咨询
推荐文章
项目文章
热点文章
最新文章
美联臣精品美容牙科

石家庄苏亚美联臣医疗美容医院 版权所有冀ICP备11007131号-7

互联网医疗保健信息服务复核同意书  冀卫网审字(2013)第25号

石家庄苏亚美联臣医院地址:中国 石家庄 桥西区裕华西路8号美牙热线:4008-277-877

河北网监电子标识
Powered by AKCMS