四环素牙属于常见的口腔科疾病,是由四环素类药物引起的着色牙。在牙齿发育矿化期服用的四环素类药物被结合到牙组织内,就会使牙齿着色,产生四环素牙;另外,孕期女性服用的四环素类药物可通过胎盘引起婴儿乳牙着色。四环素牙不仅使牙列变色,还会引发牙釉质发育不全和缺损,需要及时治疗。

目前治疗四环素牙的方法已有很多,目前较受欢迎的几种四环素牙美白方法分别是:美国Beyond冷光牙齿美白、英国恒温美白、德国VITA美容冠、德国VITA全瓷贴面。美联臣口腔专家指出,选择适合的方法是迅速、有效治疗四环素牙的有力保障。如何选择四环素牙美白方法?免费点击 在线咨询 专家会为您设计个性化的牙齿美白方案。
1.6-7岁前曾接受过大剂量的四环素类药物治疗
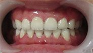
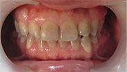
2.牙齿呈黄色、浅灰色或深灰色
3.前牙比后牙着色明显、乳牙比恒牙着色明显
4.用紫外灯照射牙齿可观察到激发荧光
5.前牙光泽度差、表面粗糙、外观欠佳
6.牙釉质严重矿化、缺损者
1.先天性四环素牙患者
2.药物引发的四环素牙患者
3.轻度四环素牙患者
4.中、重度四环素牙患者
1.根据四环素牙不同病因选择对应治疗方法,针对性更强效果更佳
2.迅速见效,原来的四环素牙瞬间亮白如新
3.治疗后的四环素牙形态逼真,表面光滑,色泽稳定且耐磨性强
4.形态、色泽、功能、结构、相容性等全方位仿真
5.四环素牙治疗过程微创无痛,无交叉感染,无远期伤害
四环素牙美白方法选择:轻度和中度的四环素牙可通过冷光美白、恒温美白解决,短时间的无痛治疗过程即可恢复天然牙色;重度四环素牙可以通过美容冠技术治疗,较短时间同样能令牙齿亮白无瑕,同时也能显著改善牙齿外形,令四环素牙更加美观。除此之外,瓷贴面、全瓷牙等技术也可治疗不同程度的四环素牙。
不过,在选择四环素牙美白方法上,各种方法的适应症、治疗时间、后期维养都不同,牙齿美白费用也有较大差别。详细可免费点击 在线咨询 进行全面了解。

Q:四环素牙治疗的费用是多少?
A:四环素牙治疗的费用无法给出具体数值,总体而言它主要受到以下因素的影响:
1.内源性四环素牙和外源性四环素牙治疗难度不同,费用也不同,也即四环素牙治疗费用跟患者的牙齿情况相关;
2.所选用的美白方法不同,四环素牙治疗的费用也不同,冷光美白、恒温美白、瓷贴面、全瓷牙、美容冠等美白方法的价格是不同的;
3.医院档次和医生资质也是影响四环素牙治疗费用的重要因素,同时也直接决定四环素牙的治疗效果;
4.另外地区物价水平也会使各地四环素牙治疗费用不同。
四环素牙治疗费用具体是多少,可免费点击 在线咨询 进行了解,医生会为您设计最合适的牙齿美白方案,这样就能预估四环素牙治疗的费用。