项目介绍

隐形牙齿矫正是一种全新的牙齿矫正技术。隐形牙齿矫正继承了传统牙颌正畸理念而没有传统矫治过程中的钢丝和托槽,因而更加美观和方便。隐形牙齿矫正技术是现代口腔医学、计算机辅助三维诊断、个性化设计和数字化成型技术的完美结合。通过采用一系列由弹性透明高分子材料制成的特殊矫治器,隐形牙齿矫正不仅操作省时省力,还不易被人察觉不影响正常生活和社交。


不过隐形牙齿矫正有一定的适用范围,并非所有人都可进行,具体可免费点击 在线咨询 了解更多详情,亦可结合自身口腔情况询问在线专家适合自己的牙齿矫正方法。

自我诊断:您是否需要隐形牙齿矫正

1.牙齿畸形或牙列不齐

2.牙齿咬合不正

3.牙齿错位、牙间隙大

4.不愿接受传统牙齿矫正过程中的钢丝牙套和托槽

5.不想被牙齿矫正影响正常生活


适用人群

1.轻度和中度牙列不齐者

2.牙齿咬合功能异常者

3.牙齿错位者

4.牙齿间隙过大者

5.非骨性地包天患者

6.非骨性龅牙患者

7.牙齿错位、牙齿间隙小于4mm者

8.下切牙拔除后矫正者

9.可以获得间隙的切牙扭转矫正者

优势

1.更加快捷:隐形牙齿矫正过程只需2~3个小时,时间较传统牙齿矫正方法缩短一半以上;此外,隐形牙齿矫正恢复期短,不足一年即可完成。


2.更加方便:隐形牙齿矫正器毫不影响日常生活和社会交际,可以自行摘戴;进行隐形牙齿矫正后复诊频率低。

3.更加舒适:隐形牙齿矫正没有传统矫正过程中的钢丝和托槽,佩带更加舒适。

4.更加安全:隐形牙齿矫正器所用的高分子材料安全系数显著优于传统金属材料,对牙龈牙周均无刺激。

5.更加美观:隐形牙齿矫正过程完全隐形、不易被人察觉,更加美观自然;矫正后立即齿如编贝。

恢复时间

隐形牙齿矫正恢复时间一般为1~2年,但具体需要结合牙齿畸形患者口腔情况、矫正后护理情况而定,另外不同体质、不同生活工作特点都会影响隐形牙齿矫正的恢复时间,具体可咨询在线专家

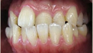
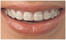
对比案例

                           

温馨小贴士

1.隐形牙齿矫正初期,少数人口内会出现酸痛感觉,属正常现象,无需过分担心,稍后即可消失。

2.隐形牙齿矫正器的佩带可能会给矫治者带来不适感,习惯之后便可适应。

3.佩带隐形牙齿矫正器初期不可咬食过硬和过粘的食物,牙齿矫正期间也不宜经常性食用此类物品。

4.由于隐形牙齿矫正期间牙根缓慢移动,因此应尽量避免过烫、过冷及辛辣等刺激性饮食。


问答中心 FAQ

Q:隐形牙齿矫正器与其他牙齿矫正器有什么区别?什么年龄段的人适合做隐形牙齿矫正效果最佳?

A:隐形牙齿矫正器区别于其他牙齿矫正器最大的特点就是完全隐形,避免了矫正期间的尴尬和难堪。
作为一种完全隐形、美观效果俱佳的牙齿矫正方法,隐形牙齿矫正并非适合所有牙齿畸形患者。隐形牙齿矫正的适用情况不仅仅是年龄段的问题,更多则是牙齿矫正人士的口腔健康情况和牙齿畸形程度。因此,隐形牙齿矫正的最适合年龄不是绝对的,能否接受隐形牙齿矫正治疗需要医生根据患者的牙齿畸形类型及其口腔发育情况确定。如果牙齿畸形者想知道自己是否适合做隐形牙齿矫正,就需要结合自身情况免费点击 在线咨询 详细咨询在线专家,这样才能知道自己适合哪种牙齿矫正方法。

联系电话在线咨询
免费咨询热线
在线咨询QQ咨询
推荐文章
项目文章
热点文章
最新文章
美联臣精品美容牙科

石家庄苏亚美联臣医疗美容医院 版权所有冀ICP备11007131号-7

互联网医疗保健信息服务复核同意书  冀卫网审字(2013)第25号

石家庄苏亚美联臣医院地址:中国 石家庄 桥西区裕华西路8号美牙热线:4008-277-877

河北网监电子标识
Powered by AKCMS