项目介绍

    瓷贴面是一种覆盖部分牙面的瓷修复体,属于覆盖式牙齿美容方法瓷贴面采用粘结技术,在保存活髓、少磨牙的情况下,对牙体表面缺损、着色牙、变色牙和畸形牙等用瓷修复材料粘结覆盖牙齿表面,以恢复牙体的正常形态和改善其色泽。作为国内外牙齿美容修复的主流,瓷贴面仿真性和美观效果好、材质稳定持久。不过瓷贴面制作过程比较复杂,而且对技术、材料要求非常高,因此进行瓷贴面一定要到专业的美牙单位。

自我诊断:您是否需要瓷贴面

    1.牙釉质发育不良

    2.四环素牙、氟斑牙

    3.牙齿发黄、发黑,颜色异常

    4.牙间隙过大、个小牙、畸形牙

    5.牙齿邻面龋坏、切端缺损

适用人群

    1.黄牙、黑牙等牙色异常者

    2.氟斑牙患者

    3.四环素牙患者

    4.牙齿畸形患者

    5.牙面龋坏患者

    6.牙釉质发育不全患者

优势

    1.美观:瓷贴面不含金属成分,不会产生黑线;具有与自然牙体组织相同的光学特质,仿真效果好。

    2.舒适:瓷贴面材料与口腔环境生物相容性好,没有异物感。

    3.安全:瓷贴面几乎不需磨除牙体组织,对牙龈、牙髓安全无害。

    4.持久:瓷贴面美容牙齿效果持久,是方便、快捷、健康的牙齿美容方法。

恢复时间

        7~10天

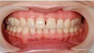
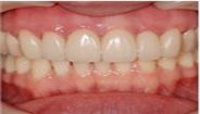
对比案例

     

温馨小贴士

1.进行瓷贴面后出现牙龈出血者,应该尽早到医院就诊,以明确是否是贴面不当所致,并及时治疗;

2.瓷贴面后短时间内尽量不用贴面牙咬食较硬食物,以防牙面脱落

    3.瓷贴面应该避免撞击,以防碎裂;

       4.平时应该使用软毛牙刷,以减少牙面磨耗
  

问答中心 FAQ

Q:瓷贴面能用多久?

A:用瓷贴面进行牙齿美容,其效果保持时间随瓷贴面材料的不同而不尽相同。一般而言,用瓷贴面进行牙齿美容可保持美白效果5~10年。不过,如果进行瓷贴面时选择的材料较好、医生技术水平较高,且之后个人对其进行了正确护理,瓷贴面的美牙时间就会显著延长。

联系电话在线咨询
免费咨询热线
在线咨询QQ咨询
推荐文章
项目文章
热点文章
最新文章
美联臣精品美容牙科

石家庄苏亚美联臣医疗美容医院 版权所有冀ICP备11007131号-7

互联网医疗保健信息服务复核同意书  冀卫网审字(2013)第25号

石家庄苏亚美联臣医院地址:中国 石家庄 桥西区裕华西路8号美牙热线:4008-277-877

河北网监电子标识
Powered by AKCMS