烤瓷牙的危害?镍镉烤瓷牙的危害?钛合金烤瓷牙的危害?钴铬合金烤瓷牙的危害?……在了解烤瓷牙的危害之前,首先来系统介绍一下烤瓷牙。

烤瓷牙是瓷粉经过高温烧结熔附于金属内冠表面而形成的全冠修复体,由内部的金属基底层和外部的瓷层两层构成,根据其金属基底冠材料的不同分为三类:非贵金属合金烤瓷冠(以镍铬合金烤瓷冠、钴铬合金烤瓷冠为代表)、钛合金烤瓷牙、贵金属合金烤瓷冠(以金合金烤瓷冠为代表)。材料是决定烤瓷牙种类的关键因素。不同材料烤瓷牙价格有较大差异。
临床数据显示,烤瓷牙的平均寿命只有3~5年,钛合金烤瓷牙与贵金属烤瓷牙的寿命略长一些,但总体而言,烤瓷牙的寿命偏短,较易出现绷瓷、脱落等问题。
烤瓷牙的危害主要与烤瓷牙的材料以及烤瓷牙的制作工艺有关。烤瓷牙材料哪种好?烤瓷牙的危害如何避免?点击在线咨询免费了解如何选择烤瓷牙材料。
1.牙齿缺失
2.牙齿颜色或形态不佳,如四环素牙、锥形小牙等
3.牙列形态异常又不宜做正畸治疗
4.因外伤而折断的牙齿或残留的牙根,如牙根有足够的长度,牙周情况又较好
5.龋洞或牙体缺损较大,充填后无法持久保持者或修复不理想。
1.牙齿缺失数目较少,并且邻牙健康,没有炎症或虽有炎症,但经过治疗得到控制
2.黄牙、黑牙、色素牙、四环素牙、氟斑牙等牙色不正常者
3.牙齿不整齐或牙列形态异常者
4.牙齿缺损者
5.龋病患者
目前来看,烤瓷牙的仅有的优势在于,烤瓷牙对于牙齿畸形和牙齿异色问题都有一定的修复效果,且烤瓷牙价格随金属成分不同多等可选,因此曾经很长一段时间内烤瓷牙都是人们进行牙齿美容和口腔修复的第一选择。不过,由于近年来烤瓷牙的危害逐渐暴露出来并不断被曝光,因此很多正规专业的牙齿美容医院并不继续开设烤瓷牙项目,转而引进烤瓷牙全面升级后的综合性牙齿美容方法——美容冠。详细了解美容冠和烤瓷牙有哪些区别,可点击在线咨询免费一对一咨询牙齿美容专家

一般来说,烤瓷牙制作完成、成功试戴粘结之后即完成牙齿修复过程。不过,烤瓷牙的具体恢复时间因人而异:
1.牙齿健康,烤瓷牙修复只为改善牙色或形态,一般需7天左右
2.牙体缺损未伤神经,需再加上牙体充填时间
3.牙神经受损或根尖周病变,需再加上牙周组织治疗、稳定时间

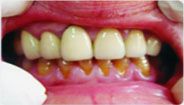
烤瓷牙的危害已经成为目前牙齿美容行业很受关注的话题之一。烤瓷牙的危害是什么?临床实践证实,烤瓷牙的危害主要表现为:
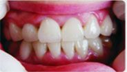
1.牙齿着色、变黑变暗
2.牙龈红肿
3.两年或多年后牙龈出现黑线
4.口内有金属异味
5.烤瓷牙寿命短,崩瓷等烤瓷牙失败现象频发
烤瓷牙的危害既和烤瓷牙材料有关,又与烤瓷牙特定的制作工艺相关。要避免烤瓷牙的危害,建议结合自身牙齿问题和口腔条件免费咨询在线专家,采用牙齿美容专家推荐的适合自己的方法。