项目介绍

    地包天矫正特指针对地包天的矫正和治疗。地包天,即下颌前凸,表现为部分或全部上前牙位于下前牙里面。引起地包天的原因有很多种,大致可以分为先天因素和后天因素两大类。前者主要指母体营养失衡、胚胎发育不良,后者则包括牙齿生长发育期生活习惯不良、意外创伤及口腔病变等。地包天矫正就是针对特定病因、确定专属的矫正方案并即刻施行、彻底矫正牙齿畸形的过程。

自我诊断:您是否需要地包天矫正

    1.部分或全部上前牙位于下前牙里面

    2.下颌前凸、口唇难以闭合

    3.上颌前凸

    4.双颌前凸

适用人群

    1.先天性地包天需要矫正者

    2.用牙习惯导致下颌前凸需要矫正者

    3.意外事故造成下前牙外凸需要矫正者

    4.口腔疾病诱发地包天需要矫正者

    5.天包地以及双颌前凸需要矫正者

优势

    1.见效迅速:通过计算机三维图像技术模拟牙齿移动过程,地包天患者可提前感受矫正效果的快速进展。

    2.交互参与:以功能和美观为标准,结合地包天患者对矫正效果和细节的要求,量身制定最适合患者的矫正方案。

    3.安全精确:运用3D数字化定位系统,精确确定地包天患牙位置,矫正精度可达0.01mm。

    4.无痛无害:整个地包天矫正过程安全无痛,不伤牙龈牙髓,也不会破坏牙神经。

    5.舒适方便:地包天矫正器佩带舒适、无异物感,不影响生活和社交。

恢复时间

        7天~1年,具体需视地包天患者牙齿畸形情况、所选矫正方法而定,详细可结合自身具体情况咨询在线专家

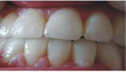
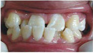
对比案例

           

温馨小贴士

    1.地包天矫正初期伤口微痛建议不要急于吃止痛药,否则可能加重伤口出血。

    2.地包天矫正期间应避免咬食过硬食物、大块食物。

    3.地包天矫正过程中不宜吃过粘食物,否则易使矫正器脱落或损坏。

    4.地包天矫正后应严格遵照医嘱,定期进行复诊。

    5.要时刻保持口腔清洁,定期到正规医院进行专业洁牙。

问答中心 FAQ

A:地包天矫正合适的年龄是多大?

Q:地包天矫正的年龄是4~18岁,乳牙期和替牙期如果个别牙轻度反咬合,可以用活动矫治器或功能矫治器进行矫正;如果多个牙反咬合或畸形严重,可以用固定矫治器进行矫正。特别是替牙期和恒牙早期,颌面骨生长发育较为旺盛,若此时进行矫正,可有效防止颌面骨异常生长发育。此时的反颌属于牙性反咬合,矫正起来比较容易;成年后形成骨性反咬合,就要配合外科手术进行矫正。目前,对于成人地包天患者来说,成人快速矫正(美容冠)和隐形牙齿矫正都是不错的选择。


联系电话在线咨询
免费咨询热线
在线咨询QQ咨询
推荐文章
项目文章
热点文章
最新文章
美联臣精品美容牙科

石家庄苏亚美联臣医疗美容医院 版权所有冀ICP备11007131号-7

互联网医疗保健信息服务复核同意书  冀卫网审字(2013)第25号

石家庄苏亚美联臣医院地址:中国 石家庄 桥西区裕华西路8号美牙热线:4008-277-877

河北网监电子标识
Powered by AKCMS