项目介绍

    牙列不齐矫正是对多种原因造成的牙列不齐现象进行矫正和治疗。先天发育不良、口腔疾病和饮食生活习惯等都有可能引发牙列不齐,产生一系列的不良反应:牙列不齐影响咀嚼、发音和呼吸功能;牙列不齐影响面部发育及美观;严重的牙列不齐影响牙周组织健康;长期牙列不齐影响身心健康。因此,牙列不齐需要及时矫正。矫正方法、矫正医院、矫正医生以及矫正护理的选择和进行对牙列不齐矫正效果都有重要影响。

自我诊断:您是否需要牙列不齐矫正

    1.牙齿排列不齐、拥挤错位

    2.牙列稀疏、牙缝过大

    3.部分上前牙列位于下前牙列里面

    4.上前牙列突出外翘

    5.上下牙列牙弓和前牙同时前凸、开唇露齿

适用人群

    1.反颌需要矫正者

    2.龅牙需要矫正者

    3.双颌前凸需要矫正者

    4.深覆合、神覆盖需要矫正者

    5.牙缝过大需要矫正者

    6.牙列拥挤需要矫正者

    7.其他牙列不齐需要矫正者

优势

    1.矫正过程安全舒适:利用计算机三维图像技术精确模拟牙齿移动过程,可预测性保障牙列不齐矫正的安全性和舒适感。

    2.牙齿定位准确精密:利用3D数字化定位系统,准确确定患牙部位及矫正时牙列移动方向。

    3.对牙龈牙髓无刺激:多种矫正器边缘均经圆润化处理,对口腔粘膜等牙列组织毫无刺激。

    4.个性化设计更美观:根据牙列不齐患者口腔状况及特殊要求专属设计矫正方案,使牙齿更有个性美感。

    5.效果持久不易反弹:矫正后的牙齿可长期保持整齐效果,牙列不齐问题不会反弹。

恢复时间

        7天~1年

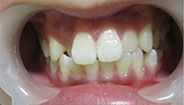
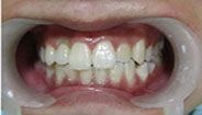
对比案例

           

温馨小贴士

    牙列不齐矫正良好效果的实现与维持不仅需要正规美牙医院在专家技术、医疗设备等方面提供支持,还需要美牙者了解正确的牙列不齐矫正后的护理方法并养成良好的口腔卫生习惯。尤其是在牙列不齐矫正初期,美牙者应避免咬食过硬或者过粘的食物,同时应少吃过烫、过冷以及辛辣等刺激性饮食。另外,除了每天及时对牙齿进行自洁外,每半年至一年还应到正规医院接受专业的洁牙服务。另外,对于牙列不齐的矫正,首先要由专业医生确定病因,再在此基础上制定专属治疗方案,因此美牙者在矫正牙齿前需结合自身情况详细咨询在线专家,切勿盲目武断以防矫正不成反让牙齿情况恶化。

问答中心 FAQ

Q:矫正牙列不齐除了改善美观外还有哪些必要?不同年龄牙列不齐患者用哪种方法矫正牙齿好?

A:矫正牙列不齐能显著改善颜面美观,但其作用和必要性远不止于此。临床实践表明,牙列不齐会影响口腔清洁,继而引发牙龈炎、牙髓炎、牙周炎等口腔疾病。另外,国外研究数据表明,口腔疾病的致病菌也与心内膜炎、关节炎、胃炎等很多疾病有关,也即,如果不及时矫正牙列不齐,很多疾病的患病率就会显著增加。可见,及时而有效地矫正牙列不齐除了改善美观外还有很大必要。

牙齿矫正方法的选择不仅仅受牙列不齐患者年龄影响,还与患者牙齿及口腔整体环境情况、患者身体状况以及患者对牙齿矫正过程美观度、牙齿矫正时间长短密切相关,需要患者将自身具体情况告知在线咨询专家,由其给出合理的矫正建议。

联系电话在线咨询
免费咨询热线
在线咨询QQ咨询
推荐文章
项目文章
热点文章
最新文章
美联臣精品美容牙科

石家庄苏亚美联臣医疗美容医院 版权所有冀ICP备11007131号-7

互联网医疗保健信息服务复核同意书  冀卫网审字(2013)第25号

石家庄苏亚美联臣医院地址:中国 石家庄 桥西区裕华西路8号美牙热线:4008-277-877

河北网监电子标识
Powered by AKCMS