氟斑牙,也即氟牙症,又称斑釉牙,表现为牙釉质出现着色的斑块或缺损。氟斑牙由牙齿发育期人体摄入氟量过高所致,主要累及发育中的牙齿和骨骼。氟斑牙属于慢性氟中毒的一种表现,对人体有很大危害,需要及时进行治疗。氟斑牙患者想要达到良好的治疗效果,重要的就是选择合适的治疗方法。

氟斑牙治疗方法详见下文。
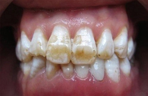
1.牙齿上有白垩色斑点、条纹或不规则散步的小面积不透明区
2.牙面大范围着色并呈现茶褐色,牙斑、白垩色条纹及不透明区遍布整个牙面
3.牙面广泛着色,牙釉质出现实质性缺损
4.牙齿对摩擦的耐受力差,但对酸蚀的抵抗力强
5.长期饮用氟含量超标的水

1.轻度氟斑牙患者
2.中度氟斑牙患者
3.重度氟斑牙患者
注:不同程度氟斑牙美白治疗方法不同,需要结合氟斑牙患者的牙齿着色程度、牙釉质缺损程度确定,另外每种方法美白氟斑牙的时间、费用等也有较大差别,详细情况可免费点击 在线咨询 进行全面了解。

1.彻底去除氟斑等色素沉积,深层脱色。
2.牙色瞬间亮白,一次性提高多个VITA色阶。
3.氟斑牙治疗过程简捷,全程安全无痛。
4.对牙龈、牙髓无刺激,治疗没有任何毒副作用。
5.治疗效果持久,牙齿长时间保持亮白。
氟斑牙治疗方法不止一种,有针对性地选择对应方法能实现理想的治疗效果。一般而言,中轻度氟斑牙患者可选择冷光美白、恒温美白、瓷贴面;中重度氟斑牙患者可选择美容冠,可实现长久美白牙齿的效果。详细了解各种氟斑牙美白方法,可免费点击 在线咨询。
氟斑牙治疗方法的选择主要依据患者自身情况及具体病因,其治疗效果与医生技术和设备先进程度直接相关。因此,进行氟斑牙治疗一定要选择正规的专业医院。美联臣口腔,全国十佳口腔品牌,专业开展牙齿美白、牙齿矫正、牙齿美容、牙齿种植、口腔修复等项目。

Q:混合型氟斑牙应该怎么治疗?
A:对于混合型氟斑牙,如果牙齿着色程度较轻,可以用冷光美白、恒温美白、喷砂美白等方法进行治疗,一般即可达到理想的效果;如果牙齿着色程度较深,建议用美容冠、全瓷牙等方法进行治疗。