洗牙,也称龈上洁治术,指用专业洁治器械去除牙面上沉积的色素、牙菌斑和牙石,同时抛光牙面,有效避免牙菌斑和牙石再次沉积。洗牙的主要作用在于清除龈上牙石,专业医院美牙机构一般还会同时清除牙龈沟内与与龈上牙石相连的浅的龈下牙石。更多关于洗牙好不好、洗牙价格等问题,详见下文,亦可免费点击 在线咨询进行全面了解。
洗牙属于常规的牙齿保健,除个别疾病患者外每个人都应及时到正规牙科医院进行洗牙。

而以下人群尤其需要重视定期洗牙:
1.经常牙龈红肿出血、口腔溃疡、牙周疼痛者需要定期洗牙
2.牙齿松动、存在牙齿脱落危险者需要定期洗牙
3.准备做牙齿矫正、牙齿美白者需要定期洗牙
4.准备怀孕的女性,需要定期洗牙以确保孕期口腔健康
……更多特别需要洗牙的症状,可以免费点击在线咨询进行了解
洗牙是一种普遍适用的牙齿保健项目,正常情况下每个人都应定期进行。但是,美联臣牙科专家指出,并不是所有人都适合洗牙。
洗牙不适合哪些人群呢?
1.出血性疾病患者必须慎重选择洗牙时间
2.牙龈恶性肿瘤患者不宜接受常规洗牙
3.畸形结核病、肝炎患者洗牙前应结合自身情况免费咨询在线专家或医生
4.口腔软硬组织炎症处于非特殊时期时才可以洗牙,具体时间可免费咨询。
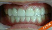
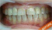
每年定期到正规专业医院洗牙,不仅可以清新口气、保持牙齿美白,也有助于维护口腔健康;相反,经常不洗牙或不规范洗牙,都会导致多种口腔疾病。

常规的洗牙方法有手工洁治和超声波洁牙、喷砂洗牙三种。美联臣精品美容牙科采用更为先进的超声波洁牙技术和喷砂洗牙。
手工洗牙好不好?相对于超声波洗牙而言,手工洗牙有一些明显不足,详细可免费咨询在线专家。
超声波洁牙(洗牙)技术有以下突出优势:
1.洗牙时间短,省时省力
2.洗牙过程舒适,洗牙者不用长时间张口
3.洗牙效果更佳,避免交叉感染
……
不正规洗牙的危害主要表现为:
1.极易造成交叉感染
2.只清除表面牙垢,而非深层洁治,起不到预防牙周病的作用
3.引起牙齿疼痛难忍
4.损害牙龈,加重牙周病情
因此,定期洗牙一定要到专业正规的牙科医院。美联臣精品美容牙科洗牙设备先进,洗牙操作规范,洗牙价格公道。

Q:石家庄洗牙多少钱?
A:石家庄美联臣精品美容牙科专家指出,作为一项常规的牙齿保健项目,洗牙其实花不了多少钱。石家庄洗牙整体价格较低,但不同医院在洗牙多少钱上还是有一定差别的,虽然洗牙价钱差不了多少,却能透露不同医院洗牙服务水平,说明不少问题:
1.洗牙技术影响洗牙多少钱:目前石家庄常用的几种洗牙技术也就是美联臣精品美容牙科所采用的超声波洗牙、喷砂洗牙和手工洗牙,不同洗牙技术价格略有差别。
2.选择的洗牙医院影响洗牙多少钱:技术、设备、环境、服务、医生经验等方面的区别使不同医院的洗牙效果有所不同,因而洗牙价格也就不同。
3.洗牙工序影响洗牙多少钱:某些不正规医院为缩短洗牙时间、降低洗牙成本,省去必要的消毒、抛光等程序,极易导致交叉感染。美联臣牙科洗牙操作规范,洗牙设备先进,洗牙价钱合理。
详细了解石家庄洗牙多少钱,请您结合自身口腔健康及平时口腔护理情况免费咨询在线专家。