很多人误以为只有老年人才会出现牙齿松动,而现实却是很多年轻人也出现了牙齿松动现象。

牙齿松动了怎么办?外力撞击、牙龈营养匮乏、牙龈萎缩等等很多原因都会导致牙齿松动。由于危害较大,牙齿松动需及时进行矫正调整、牙周治疗或根管治疗等。根据牙齿松动产生原因及程度不同,治疗方法可相应选择矫正调整、牙周治疗、根管治疗等等,不过具体还要牙科专家在结合患者实际情况的前提下给出建议,免费点击 在线咨询 即可。
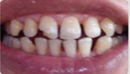
1.牙齿有较大活动度,松动主要位于水平方向
2.牙齿间歇性或持续性感觉不适或无力
3.部分牙齿松动者出现牙齿疼痛现象
4.因松动牙齿咬合不正且咀嚼力不足

1.外力撞击引起牙齿松动不牢者
2.牙齿病变引起牙齿松动者
3.不明原因牙齿松动者
1.石家庄美联臣口腔拥有全市非常先进的系列牙齿修复和牙齿美容医疗设备,包括口腔全景机、冷光美白仪、种植机等等;
2.牙齿矫正专家、牙齿美白专家、口内修复专家都有数十年临床实践经验,在年轻人牙齿松动治疗方面更是有一套独特的见解和方法;
3.所有医护人员定期参加包括牙齿松动治疗在内的美牙精英培训,拥有丰富的年轻人牙齿松动治疗专业知识且技术精湛。
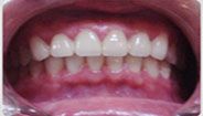
牙齿松动危害大,如果出现牙齿松动现象就需要及时接受治疗。
牙齿松动有哪些危害呢?不同程度的牙齿松动有可能导致牙齿咬合及咀嚼功能受阻从而影响营养物质的消化吸收,还会破坏基本的口腔健康,引起牙龈萎缩、发炎甚至牙周疾病,严重的牙齿松动还会导致牙齿脱落。
Q:年轻人牙齿松动是什么原因?如何治疗?

A:美联臣牙科专家指出,年轻人出现牙齿松动,其原因除了外力撞击以外,还有可能是因为病理性退化引起牙龈萎缩,另外牙龈营养缺失、急性根尖周炎、牙周病、牙周变性等也都是可能导致牙齿松动的原因。由于确定病因对治疗牙齿松动至关重要,因此年轻人如果出现牙齿松动,建议通过咨询专家医师明确具体病因再对松动牙齿进行及时治疗,免费点击 在线咨询 即可。