项目介绍

    成人牙齿矫正是利用正畸或牙齿外科手术等方法对成人错颌畸形进行矫正。错颌畸形是口腔三大常见疾病之一,先天因素和后天因素都是其诱因,主要包括牙齿、颌骨、颅面的畸形。成人牙列不齐、错颌畸形不仅影响颜面美观和脸型改变,还会对进食和发音产生较大的副作用,严重时甚至引起牙齿松动、软组织挫伤、牙槽骨和牙根吸收、牙髓炎及牙周病等。可见,错过牙齿矫正合适年龄的成人牙齿畸形患者,应尽早进行矫正。

自我诊断:您是否需要成人牙齿矫正

    1.成人牙齿形态发育不正常

    2.成人前牙稀疏或拥挤

    3.先天性龅牙、地包天

    4.全口牙列不齐

    5.其他错颌畸形

适用人群

    1.错过牙齿黄金矫正期的成年牙齿畸形患者

    2.先天性牙齿畸形的成年人需要矫正者

    3.因意外事故、口腔疾病导致牙齿松动或畸形的成年人需要矫正者

    4.牙齿大小或外形不一致的成年人需要矫正者

    5.全口牙列不齐或个别牙齿形态异常成人矫正者

    6.对牙齿整齐度有较高要求的成年人

    7.需要通过牙齿矫正改善颜面美观、提升个人形象的成年人

优势

    1.更快捷:成人快速牙齿矫正只需间隔7天到院两次即可完成矫治过程。

    2.更整齐:成人矫正之后的牙齿在外形和排列上都更加整齐,美牙者可安心体验齿如编贝。

    3.更美观:结合VITA齿雕技术,对牙冠每一个细节都进行精雕细琢,使成人矫正后的牙冠外形更加美观。

    4.更方便:成人牙齿矫正完全隐形、不易察觉,不会对饮食、生活及社交产生任何影响。

    5.更安全:矫正过程中用3D数字化定位技术精确定位,毫不伤及邻牙。

    6.更长效:矫正后的牙齿不易反弹,能长久保持整齐效果。

恢复时间

        7天~1年

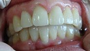
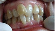
对比案例

         

温馨小贴士

    目前适合成人错颌畸形患者的牙齿矫正方法是成人快速牙齿矫正和隐形牙齿矫正,此外还有普通矫正、舌侧矫正、自锁托槽矫正和半隐形矫正等。不同的成人牙齿矫正方法都有其各自特点,适用对象也不尽相同。成人正确地选择牙齿矫正方法对于缩短治疗时间、改善牙齿矫正效果至关重要。如果自己无法确定适合的成人牙齿矫正方法,可以到专业医院咨询相关专家。

问答中心 FAQ

Q:为什么成人牙齿矫正时间长短差别较大?石家庄成人牙齿矫正哪里好?

A:总体来说,成人牙齿矫正时间的差异主要来源于两个方面:一是成人牙齿发育和生长形态不同因此矫正难度有一定差异,二是不同成人牙齿矫正方法所需矫正时间也是不同的。如果成人想要在较短时间内完成牙齿矫正过程,可以选择成人快速矫正。成人快速矫正通过在患牙上覆盖色泽、形态精确设计的牙冠,可以在7天内完成牙齿矫正,丝毫不影响成人的正常生活和工作。除此以外,成人牙齿矫正时间的长短还跟成人在牙齿矫正期间的用牙习惯、配合程度等很多因素相关。因此如果想具体了解成人牙齿矫正需要多长时间,建议结合自身状况详细咨询在线专家。

石家庄美联臣精品美容牙科是石家庄市很好的成人牙齿矫正医院,配备有先进的口腔全景机、口腔综合治疗台、冷光美白仪等众多业内顶级美牙设备,并拥有全国知名的牙齿矫正专家王俊祥等美牙专家,全方位保障牙齿矫正及牙齿美白、牙齿种植、牙齿美容等美牙项目的效果。

联系电话在线咨询
免费咨询热线
在线咨询QQ咨询
推荐文章
项目文章
热点文章
最新文章
美联臣精品美容牙科

石家庄苏亚美联臣医疗美容医院 版权所有冀ICP备11007131号-7

互联网医疗保健信息服务复核同意书  冀卫网审字(2013)第25号

石家庄苏亚美联臣医院地址:中国 石家庄 桥西区裕华西路8号美牙热线:4008-277-877

河北网监电子标识
Powered by AKCMS