全瓷牙,又称全瓷烤瓷牙,是在烤瓷牙的基础上进一步发展完善的新型牙齿修复和美容方法。
全瓷牙中不含金属内冠,因此使用之后牙龈不会出现黑线。由于传统烤瓷牙中的金属基底冠由陶瓷代替,全瓷牙的透光性和折射性更加接近天然牙。全瓷牙是在治疗的牙根上做一个全瓷的透明支撑骨架作为内冠,然后在它的外冠面烤上一层与天然牙色泽相近的瓷粉,最后粘结在牙齿上。
全瓷烤瓷牙一般要多少钱?美联臣口腔专家指出,相对于传统的贱金属烤瓷牙,全瓷牙价格因其材质、制作工艺、美牙效果等稍高一些。目前最好的全瓷牙是二氧化锆全瓷牙,二氧化锆全瓷牙价格?全瓷牙缺点?全瓷牙寿命?可免费点击 在线咨询 了解更多全瓷牙信息。

1.牙釉质发育不全
2.牙过小、牙间隙宽、个别牙不齐
3.牙齿缺损
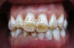
4.牙齿发黄发黑
5.烤瓷牙失败
6.牙齿难看
……
1.牙齿形态发育异常者,如牙过小者、牙缝大者、牙列不齐者
2.牙齿缺损者,可利用缺牙前后的牙齿做固位牙
3.四环素牙、氟斑牙等等牙齿发黄发黑者
4.烤瓷牙失败或其他美牙方法不成功者
5.对自身牙齿外形和色泽有较高要求者
6.无严重的心、肾疾病者

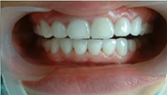
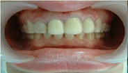
1.色泽天然、仿真效果好
2.透光性和折光性好,牙齿晶莹透亮
3.安全可靠,既不伤牙髓,也对牙龈无刺激
4.持久美观,使用后牙龈不会出现黑线
5.功能恢复快,迅速还原牙齿的咬合功能和咀嚼功能
6.使用寿命长,而且可以长期保持原始的美观效果
1.全瓷牙是近几年兴起和发展的美容性牙齿修复方法。由于发展迅速,目前已有多种材料可用于不同种类的全瓷牙制作。不同材料的全瓷牙在性能、特点以及价位等诸多方面都有一定差异,因此在决定安装全瓷牙后,首先要确定的就是全瓷牙材料。
2.例如,利用全瓷牙进行牙齿缺损治疗时,要依据强度和美观性的不同要求来选择全瓷牙材料;另外也要结合牙齿的部位进行选择,一些材料仅适用于制作前牙冠,而高强度全瓷牙材料可用于制作后牙冠。美联臣口腔温馨提示您,不同的全瓷牙材料适用的牙齿情况、价格费用都是不同的,具体如何选择全瓷牙材料?不同种类全瓷牙多少钱?可免费点击 在线咨询 由专家为您详细解答。

Q:哪种全瓷牙好?全瓷牙价格是多少?
A:不同种类全瓷牙的区别主要在制作材料上,在安全、舒适、美观等维度上有其各自优势。综合而言,二氧化锆全瓷牙被公认为目前很好的全瓷牙。二氧化锆生物相容性好、对牙龈无刺激和过敏反应,其中不含金属成分因此无金属异味也不会产生黑线;二氧化锆质量轻、导热性能低,因此佩戴更为舒适也更有利于保护牙龈;二氧化锆全瓷牙对光线的通透性好,同时可以由美牙者个性选择牙色,实现个性化美牙。但是,美牙者各自口腔情况不同、想要达到的牙齿美容效果也不同,因此针对个人哪种全瓷牙更好没有定论,需要美牙者结合自身情况详细问询专家,免费点击 在线咨询 即可。
全瓷牙价格相对传统的烤瓷牙价格较高,不过其牙齿美容效果同样显著。材料、数量及美牙者口腔情况都会影响全瓷牙价格,如果美牙者想在接受全瓷牙治疗前事先了解全瓷牙价格,可以咨询在线专家,这样就能详细了解到自己做全瓷牙的预期费用。