

国内外诸多奢侈品牌名扬中外绝非偶然,其独特的品质和创新更使其大放光彩,经久不衰。苏亚美联臣3D隐形矫正是现代口腔医学、计算机辅助三维诊断、个性化设计及数字化成型技术的强势结合。其至高的品质决定了其价格相对传统矫正来说要稍稍高一些。
>>点击了解价格明细
4大因素决定牙齿矫正的价格

1、与所采用的牙齿矫正方式有关:牙齿矫正的方法有很多种,不同的方式,价格上也会有很大的区别。
2、要根据你牙齿的畸形情况而定:牙齿的状况不同,矫正的复杂程度也不同,所需要的时间也不同,导致矫正的价格有所不同。
>>我适合做隐形矫正吗?
3、与矫正者的年龄有关:一般来说,孩子做牙齿矫正相对较容易,费用也会少一点,成年人因为矫正难度稍大,费用会相对高点。这种一般是针对于牙套矫正而言的,孩子牙套矫正较成人一般会低,因为孩子矫正相对容易且时间较短。
4、与医生的专业技术和医疗设备有关:正规的口腔牙科拥有技术力量雄厚的医生团队和先进的技术设备,而且矫正牙齿也会更安全更有保障。
4大优势成就苏亚美联臣3D隐形矫正至臻品质

常见的深覆合、深覆盖、牙齿拥挤、反合以及牙缝过大,苏亚美联臣3D隐形矫正都可以取得良好的效果。
悄悄变美:隐形牙套,正常社交距离不会被发现;矫正慢慢恢复牙齿整齐,颜面也更加美观,笑容更加自信。
>>隐形矫正需要多久
清洁:摘下牙套可以正常吃饭,然后漱口;早晚正常刷牙,清洁牙齿,有效防止传统矫治过程中出现的牙龈炎、牙齿表面脱矿变色等牙齿问题。
舒适无疼:透明矫正器,国际进口材质,弹性高,促进矫正过程中牙齿高效移动,有效缓解牙齿矫正过程中的不适感。
预知效果:透明的隐形矫正器是一个集正畸医生医生的思维,包括对医学的认识结合的电脑技术、3D打印技术种种结合在一起的技术,它把一个复杂的过程变得简单,可预见牙齿矫正后的效果。
>>在线咨询医生
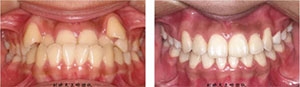
苏亚美联臣3D隐形矫正成功案例
程程属于典型的地包天,并且下嘴唇突出向前,严重影响脸型的美观。后来她在石家庄苏亚美联臣通过隐形矫正解决了牙齿排列和咬合问题,脸型也发生了变化,从丑小鸭蜕变为美丽的白天鹅!

石家庄苏亚美联臣隐形矫正医生

王俊祥
石家庄苏亚美联臣美容牙科主任医师
30多年的从业经验
50000多例的矫正案例
德国非凡矫正认证医生
美国隐形矫正认证医生
推荐阅读