

目前,都市人通过牙齿矫正手术解决牙齿问题,比如,它可以有效的矫正牙齿畸形、牙齿缺损这些现象。但是,还有一些想要做牙齿矫正手术的朋友们会担心它的效果。下面,由石家庄苏亚美联臣精品美容牙科口腔美容医生为大家介绍一下牙齿矫正好不好?牙齿矫正后会有怎样的效果。希望通过以下的内容,给大家带来一定的帮助。

【矫正牙齿并无年龄限制】
石家庄苏亚美联臣精品美容牙科医生强调,许多人对矫正牙齿都有一个误区,认为矫正牙齿的至佳年龄段为12-14岁左右。其实,这是片面的。对于不存在骨头发育不协调的人,牙齿矫正应在换完乳牙后开始至适合,即12-14岁左右。而在生长发育阶段,牙齿有问题就应该及时到医院口腔正畸科就诊,像地包天、小下巴等畸形,应越早矫治越好,且不受年龄的限制。

总之,不同的错牙合畸形,其矫治时期也不同,而且矫正牙齿是一门非常专业的学科技术。所以医生告诫有错牙合畸形的患者,可以先到正规医院看口腔正畸科专科医生,以明确错牙合畸形的类型,并确定矫治的较好时期。
【矫正牙齿,国内拔牙率高】
石家庄苏亚美联臣精品美容牙科医生介绍,牙齿矫正是通过正畸或外科手术等方法治疗错牙合(hé)畸形。错牙合畸形是指儿童生长发育过程中,由先天因素或后天因素导致的牙齿、颌骨、颅面的畸形。常见的错牙合畸形有牙齿排列不整齐、牙齿拥挤、地包天、龅牙等。

在矫正牙齿过程中,国内拔牙率相对较高。其主要原因:一是中国人的脸是凸面形的;二是中国人牙齿保健意识不强,口腔保健不到位,牙齿问题较多。拔牙矫治是口腔正畸临床应用较多的方法,但具体到不同患者情况会有所不同。
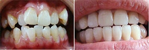
【矫正后的牙齿更坚固】
牙齿矫正后改变了牙齿咬合关系,使得牙齿能够自然咬合,从而更好地发挥牙齿的咀嚼功能,有利于牙齿健康。

有些人在摘掉牙套后觉得大牙面很不光滑,认为矫正出现问题。石家庄苏亚美联臣精品美容牙科医生解释,这是由于牙齿没有刷干净的缘故,牙齿戴上矫治器后,食物残渣容易遗留在矫治器与牙齿的缝隙中,如果不把牙齿刷干净,残渣会越积越多形成牙垢,至终导致牙面不光滑。
【矫牙时间、效果与配合程度有关】
石家庄苏亚美联臣精品美容牙科医生说,一般情况下,矫正牙齿的时间为2年左右。在整个治疗过程中,矫正的效果与患者和医生的配合程度有密切关联。患者与医生的配合行为主要包括:按照医生的要求认真刷牙、吃东西,按时复诊等。

石家庄苏亚美联臣精品美容牙科医生提醒患者,矫正期间,不要食用硬、粘、大块的,以及"啃"的食物,如苹果等,以防损坏矫治器。同时要注意口腔卫生,每餐饭后要刷牙,刷牙时要用小头、软毛且毛质好的儿童牙刷,要把牙齿间的食物残渣全部清除。
【温馨提示】:关于“牙齿矫正好不好?”的问题,如还有疑问,欢迎来电咨询石家庄苏亚美联臣精品美容牙科。石家庄苏亚美联臣精品美容牙科特邀牙齿种植、牙齿美容、颌面外科整形等口腔美容医生坐诊本院,同时组建了一支临床经验丰富,口腔美容理论知识全面的医生团队,打造华北口腔种植牙基地,为千万顾客带来了健康美丽的笑容。石家庄苏亚美联臣精品牙科还提供 网上预约 服务,方便您简化预约挂号程序及时就诊。
★口腔科医生热线: 4008-277-877
★医院地址:河北省石家庄市桥西区裕华西路8号(与站前街交口) ----石家庄苏亚美联臣