

不少人常常会发现自己的牙齿慢慢的发生了错位、扭曲、前牙之间也出现了缝隙,并且越来越大,严重影响了面部美观,很多人为此感到苦恼。其实这种情况是可以通过矫正的办法来解决的。
牙齿矫正是通过正畸或外科手术等方法治疗错颌畸形,错颌畸形是指儿童生长发育过程中,由先天因素或后天因素导致的牙齿、颌骨、颅面的畸形,其患病率高达人口的50%以上。凡是经过系统的治疗,就可以戴上固定矫治器进行治疗,安全无风险。
适用人群
龅牙、虎牙、老鼠牙、牙齿拥挤、覆合牙、牙反牙和、交错咬牙合、牙间隙

一、四大传统牙齿矫正技术,总有一款适合你

二、美容冠矫正-------7天成人快速矫正
德国vita美容冠,采用德国vita比色技术,美国碧兰麻技术和3D数码定位技术相结合的美牙技术,对牙齿的大小、形态、颜色进行一个360°综合设计,只需7天,来院2次,快速告别龅牙、虎牙、牙不齐等各类难看牙齿。
五大大技术优势
美观实用:美容冠采用3D数字化定位系统和VITA比色技术,全面改善牙冠外形和色泽、提升牙齿美观功能和咀嚼功能。
高效迅速:整个牙齿美容过程只需短短7天,大福提升美牙效率、方便快捷。
个性尊贵:精益求精的齿雕技术实现个性化美齿,专属美丽彰显尊贵气质,冠军之选更显美牙者身份尊贵。
安全:安装美容冠全程采用技术且无酸涩感,对牙龈、牙根均无刺激。
坚固持久:利用美容冠修正后的牙齿可长期预防龋害,且美牙效果可长久保持。
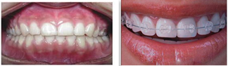
对比案例
传统牙套矫正:

陶瓷牙套矫正:

隐形矫正:
美容冠矫正:
