


为什么隐形牙套可以预测我的牙齿排列? ", "隐形牙套是怎么做出来的? ", 这是每个隐形矫正的牙友们共同的疑问, 其实隐形牙套的制作流程先进复杂, 而且各厂牌均有其专利与商业机密,我们可以在不触及其商业机密的前提叙述一下通则:
1. 首先经由先进的3D电脑雷射扫描技术将实体的牙齿转换成3D数码模型。

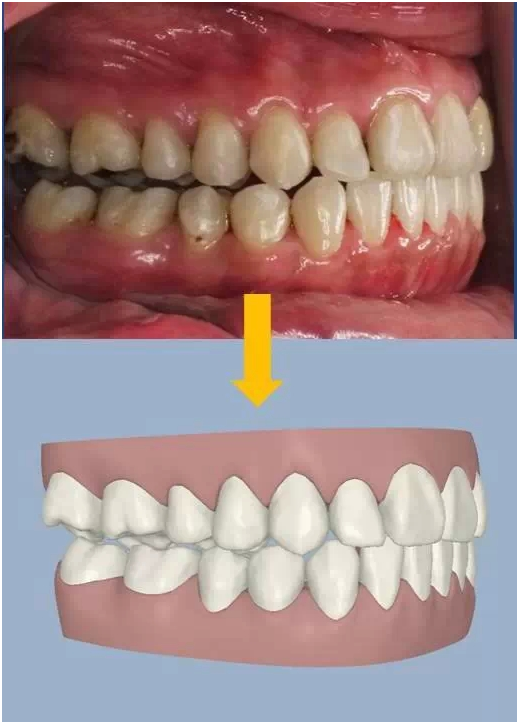
2. 矫正医师在3D数码模型上模拟矫正疗程, 将牙齿依临床步骤在电脑上渐渐地排整齐。

3. 接下来是重点, 再利用 "逆向工程" 的回推技术, 将每个步骤 "反向" 3D列印出实体模型。

4. 高精密度3D列印且充分抛光后的实体模型表面非常光滑, 可做出精准的隐形牙套。

5. 最后将牙套边缘整平或激光裁切出戴橡皮筋用的凹槽。

隐形矫正,对于矫正牙齿有着很好的效果及优势,如果您想了解具体的价格,您可以直接咨询在线医生。
美联臣口腔隐形矫正案例

美联臣口腔
--预约/咨询电话: 4008-277-877
--官方网站: www.meiya0311.com
--医院地址:石家庄市裕华西路8号(裕华路与站前街交口)