

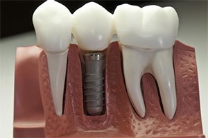
种植牙被人类誉为继乳牙、恒牙之后的"第三副牙齿"。种植牙无须磨损两侧健康牙,针对个别牙齿缺失、多数牙齿缺失或满口无牙的症状,进行有效美容修复。
石家庄苏亚美联臣种植牙采用国际先进自然仿生种植系统,量齿定做,科学诊断,使用国际先进的自然仿生材料,短短半小时的轻松过程,便可种出一口洁白坚固的新牙。其持久耐用效果可长达四十年,与传统戴假牙相比,更稳固、更坚强。那么种植牙多少钱呢?

影响种植牙费用的4个方面:
1、种植牙系统:不同的种植牙系统,采用了不同的人工种植体材料,而且种植技术也存在很大不同。根据材料不同以及技术复杂性和人性化特征的不同,费用也就出现了很大的不同。比较好的种植系统采用了比较先进的材料,并且种植精准、安全、舒适,所以价格相对于其他系统要高。安全、快速、舒适,是我们对您的承诺!
石家庄苏亚美联臣口腔种植体,采用全球一流种植体美国3i种植体、瑞典Nobel种植体,韩国一流种植体登腾种植体,确保种植体安全保障。

2、修复材料: 修复材料价格也是种植牙费用的构成之一。我们知道,种植牙植入牙槽骨并且紧密结合后,就要在人造牙根上进行冠修复。患者可以选择不同的人造牙冠,比如全金属冠、烤瓷冠还有全瓷冠,不同的人造冠,价格就不一样。比如无论是色泽还是形态都与天然牙齿比较接近的全瓷牙冠费用就比较高。
3、口腔医生: 能否找到一位经验丰富、技艺高超的口腔医生是口腔种植能够安全、、顺利完成的关键看。因此医生治疗费用在种植牙总费用中的比例非常突出。越的种植医生,收取的费用也就越高,当然手术也就越有保障。

4、口腔医院: 医院品牌是影响种植牙费用的重要因素,牙齿缺损患者自然希望前往拥有先进设备和技术以及种植医生队伍的医院就医,同时他们也希望就医的环境能够显得比较安宁和舒适。
石家庄苏亚美联臣已经让上万的顾客摆脱缺牙的困扰,由于我们对自己的严格要求,得到了国家卫生部的认可。
通过全方位3D口腔CT精准检查,运用三维科技,计算机辅助医生进行美学设计,量身定制诊疗方案。采用局部麻醉,将选择好的种植体通过微创手术植入到缺失牙区的牙槽内,手术只需15分钟,整个过程舒适。种植牙坚固牢靠,临床数据显示其平均使用寿命长达20年,甚至可以使用终生。

美牙冠及瓷贴面修复;
成人错颌畸形固定正畸及儿童错颌的功能矫正,针对复杂疑难口腔疾病的综合诊疗计划有独到的经验。

