

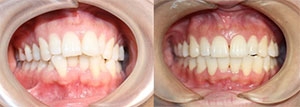
  整齐的牙齿才能让笑容更灿烂,牙齿矫正是保证牙齿整齐的一种修复方法。在人类的发展进程中从来就没有停止过对美的追求,古时候人们就知道用动物牙齿、贝壳等修复牙齿。现如今人们更加注重牙齿的整齐洁白,牙齿矫正、美白更是近年来受到众多爱美人士青睐的美容修复技术。 在线咨询
在线咨询
【牙齿不整齐会有哪些危害?】

石家庄苏亚美联臣精品美容牙科医生介绍,如果牙齿不整齐未及时矫正,严重者会影响咀嚼功能,引起消化不良及胃肠疾病,损害身体健康。有些错颌畸形会妨碍发音和外貌,影响到以后职业选择和社会交往,造成心理负担甚至产生心理问题。因此,矫正牙齿势在必行。但是,对于牙齿矫正很多人的认识是存在误区的。
误区一:牙齿矫正都需要拔牙,拔牙对身体不好
  在进行牙齿矫正选择时,总有些人觉得牙齿矫正都需要拔牙,而拔牙会影响牙齿的咀嚼功能,因此放弃矫治,其实这同样是牙齿矫正误区。拔牙只是部分牙齿畸形矫正必须采取的步骤。而且即使拔牙,也只是让牙齿重新排列,改善面部美观,并不会对健康有什么不利影响。 在线咨询
在线咨询

误区二:牙齿矫正只适合小孩子,成年人不能矫正牙齿
  很多人认为牙齿矫正只针对小孩子,成年人并不能进行牙齿矫正。这种观点是错误的。成年人的生长发育停止后,牙齿已经定型,如果没有特别严重的牙周炎的话,牙齿也可以进行矫正的。当然矫正的难度比小孩子大,而且只能靠外科手术来进行矫正。成年人牙槽骨改建比较缓慢,牙齿移动相对慢,所需要的矫正时间就长些,并不是不能矫正。 在线咨询
在线咨询

误区三:牙齿矫正时会很疼,不能吃饭
  石家庄苏亚美联臣精品美容牙科医生特别介绍:一般来说,每次牙齿矫正加力后,都会有两到三天感到轻微的疼痛和不适感,但都是正常人可以忍受的范围内,且很快就会消失,属于正常反应。另外,牙齿矫正可以吃东西,只是要避免咬嗑及吃很粘的东西,以防损害牙齿矫正效果。 在线咨询
在线咨询

石家庄苏亚美联臣精品美容牙科专业解决儿童、青少年及成年人牙齿排列不齐的烦恼,新型矫治器可以做到透明感强,外观看不到正畸装置,让您告别大钢牙的尴尬。
名医推荐

王俊祥
解放军第四军医科大学
主任医生(博士生导师)
30多年的从业经验
5000多例的矫正案例
德国非凡矫正认证医生
天使隐形矫正认证医生
【温馨提示】:关于“牙齿矫正的危害有哪些?”的问题,如还有疑问,欢迎来电咨询石家庄苏亚美联臣精品美容牙科。石家庄苏亚美联臣精品美容牙科特邀牙齿种植、牙齿美容、颌面外科整形等口腔美容医生坐诊本院,同时组建了一支临床经验丰富,口腔美容理论知识全面的医生团队,为千万顾客带来健康美丽的笑容。石家庄苏亚美联臣精品牙科还提供 网上预约 服务,方便您简化预约挂号程序及时就诊。
★正畸医生热线: 4008-277-877
★医院地址:河北省石家庄市桥西区裕华西路8号(与站前街交口) ----石家庄苏亚美联臣