俗话说 “一白遮三丑”,一口健康洁白的牙齿能使人展露美好的微笑。如今,牙齿美白成为一种时尚,可现实中许多人正被四环素牙、氟斑牙等色素牙困扰着。那么,四环素牙、氟斑牙该如何治疗呢?
 
 
 
    不同程度的四环素牙、氟斑牙,有着不同的治疗方法,美联臣精品美容牙科则运用了第1代和第2代技术分别进行治疗。
 
    ★ 第1代技术
 
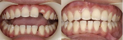
    对于中轻度四环素牙、氟斑牙,目前非常有效、很普及的美白技术就是“冷光美白”。黄板牙、烟渍茶渍牙、中轻度四环素牙、氟斑牙等都适用,治疗后能即刻提高到5—14个VITA色阶,而且时间很短,才30分钟即刻完成。
   
    
    
    30分钟冷光美白
    来自美国硅谷的技术,经过美国食品和药物监督管理局认证,是几个为数不多美国认定的口腔美白产品。也是迄今为止很安全、有效的牙齿美白方式。
    作用原理
    将进口的美白剂,涂到牙齿上,通过冷光低温照射,发生特殊的光学反应,使美白剂在很短的时间内发挥作用,把牙齿内的有色色素置换成无色色素,也就是把牙齿内外的色素层层分解,使牙齿从里到外都亮白起来。
 
    
    独特之处
    
亮白且水润光泽,其它的美白技术使牙齿失去光泽,变成白垩色;
    
美白剂内的特殊成分还能让牙釉质变的更加坚硬;
    
能防止牙齿的冷热酸甜过敏;
    
低温冷光照射,伤牙髓牙龈,安全苦。
 
    保持时间