

地包天怎么办?石家庄美容冠快速矫正
快速了解石家庄地包天矫正,可免费点击右侧在线咨询。

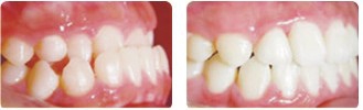
地包天怎么办?地包天在医学上称为牙齿反颌,属于一种比较常见的牙齿畸形。地包天不仅破坏美观,还妨碍牙齿正常咀嚼、发音功能,严重有损身体健康。
地包天怎么办?石家庄美容冠快速矫正
“要矫正地包天,方法其实有很多。”石家庄美联臣医疗美容医院精品美容牙科正畸主任谈到。普通牙齿矫正、隐形牙齿矫正等,都是地包天患者经常选择的方法。
“但如果想要快速矫正地包天,还得选择美容冠矫正。”
【技术链接】美容冠
快速了解更多地包天矫正知识,可免费点击在线咨询由牙齿矫正医生详细介绍。