

石家庄种植牙安全吗?种植牙是通过牙槽骨的小手术完成的,种植牙过程并不特别复杂。很多牙齿缺失者对种植牙过程不了解,对其安全性和效果也就不肯定。

快速了解石家庄种植牙过程,可免费点击右侧在线咨询。
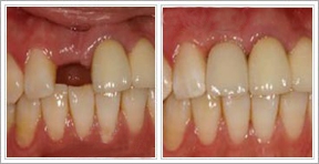
【石家庄种植牙安全吗?】针对石家庄广大牙齿缺失患者这一疑虑,石家庄美联臣医疗美容医院精品美容牙科牙齿种植医生对种植牙过程做了形象介绍。
种植牙过程就像是在香蕉里放一颗钉子。首先,就像把香蕉皮剥开暴露果肉一样,医生要先切开牙龈暴露骨组织;然后在牙槽骨上定位,并为种植体准备窝洞;然后将种植体放入,再将牙龈缝合,使种植体在牙龈下慢慢与骨愈合。待种植体骨愈合完全后,再在种植体上安装牙冠。
医生指出,现在的种植牙主要做二期手术,一期手术把种植体种植到相应的位置,愈合以后再做二期手术,在基台上制作牙冠持久性恢复牙齿的正常形态和功能。石家庄美联臣医疗美容医院精品美容牙科全面开设进口种植牙、微创种植牙、即刻种植牙等项目。
石家庄种植牙安全吗?牙齿种植技术属于口腔领域科技含量及专业要求较高的一种技术,要确保种植牙安全性就一定要到正规医院,医生技术和相关设备才有保障。免费点击在线咨询,即可详细了解石家庄种植牙更多专业知识和价格。