

中国隐形矫正专业品牌时代天使联合石家庄美联臣口腔举办爱牙天使行活动,12月20日中国隐形矫正主要负责人-田杰博士将莅临活动现场为您提供专业的牙齿会诊与咨询。参与活动即可获得神秘签到礼,活动现场更有超级惊喜等着你!

20日三重惊喜好礼等你来拿
到院礼:来院参与活动即可获得价值1680元正畸大礼(拍片200元+取模300元+医生方案设计费500元+口腔洁牙全套680元)
消费礼:活动当日消费隐形矫正即送价值 3680元超级爱牙礼。1680元正畸大礼+2000元爱牙礼包(美白牙膏+飞利浦电动牙刷+隐形矫正清洁器+1000元保持器代金券)数量有限,送完为止。
特惠礼:储值2万送5000元 储值5万送2万储值10万 送5万
名医推荐——田杰博士

田杰
第4军医大口腔医学院博士
时代天使隐形矫正首席医学总监
中国隐形矫正第1人
田杰,时代天使医疗器械科技有限公司首席医学执行官。1997年毕业于第四军医大学口腔医学院,获口腔正畸学博士学位。翻译出版了国际正畸名著《口腔正畸诊断彩色图谱》,参编正畸专著三部,参译正畸著作一部;主编科普著作二部。发表专业学术论文20余篇。
技术链接:隐形正畸是国际口腔正畸学领域中的一项高新科技技术。
隐形牙套

隐形矫正又叫“隐形无托槽矫正”,是牙齿矫正的一种。
隐形无托槽矫正没有传统矫治过程中的钢丝和托槽,不影响美观等突出优点而广受美齿者青睐。牙齿正畸医生介绍,这种隐形矫治技术继承了传统的牙颌畸形矫治理念,是现代口腔医学、计算机辅助三维诊断、个性化设计及数字化成型技术的结合。
相对于传统牙颌畸形矫正器而言,隐形矫治技术,不需要托槽和钢丝,采用的是一系列隐形矫治器,该隐形矫治器由安全的弹性透明高分子材料制成,使矫治过程几乎在旁人无察觉中完成,不影响日常生活和社交。同时,没有了粘结托槽、调整弓丝的繁琐,临床操作大大简化,整个矫治过程省时又省力。
适合人群
个别牙错位、牙列拥挤、牙齿不整齐、牙间隙、前牙反合(地包天、凹面型)、前牙深覆盖(龅牙、凸面型)、前牙深覆合(或深覆盖)、双颌前突、口唇前突和前牙开合(窄长面型)。还有希望进行个性化设计的人比较适合适用无托槽隐形矫正。
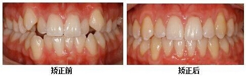
案例对比

美联臣口腔
--预约/咨询电话 4008-277-877
--官方网站 www.meiya0311.com
--医院地址 石家庄市裕华西路8号(裕华路与站前街交口)