

四环素牙是我们在儿童时期就形成的一种色素牙,一般是因为服用了四环素类的药物,刚开始牙齿着色还比较浅,慢慢地就会逐渐加深,变成黄色、灰色或褐色。
·四环素牙有没有危害?
四环素牙从其化学性上看对人体无害,但四环素牙会使人牙齿着色,严重影响到美观。
很多患者都对医生讲过这样的话,“这样的牙太难看了,我觉得自己的形象全没了”……
猜你想问:四环素牙美白有年龄限制吗?洗牙、喷砂能不能美白四环素牙?点击在线咨询问问石家庄美联臣口腔四环素牙美白医生吧!
·四环素牙如何美白?
石家庄美联臣有专门的牙齿美白中心,针对四环素牙的不同程度,有专门的解决方案:
A:美国beyond冷光美白——30分钟黑牙黄牙一打光
冷光美白能够轻松解决一般外因性色素牙(咖啡、茶渍、烟渍沉积、槟榔染色)、中轻度四环素牙、氟斑牙、药物性变色牙、遗传性黄牙等外源性和内源性牙齿颜色难看问题。让您美牙舒心,用牙放心,笑容更添自信心!More
B:英国恒温美白——零敏感,快速,有效
石家庄美联臣口腔牙医介绍说,恒温美白整个过程由专业医生操作完成,大约需要一个小时。治疗过程中没有特殊感觉,安全无损害,效果提高5~14vita白阶,长期效果至少维持两、三年。More
医生提示:针对四环素牙的不同程度及患者年龄、健康状况等,四环素牙美白需要采用的方法与价格也不尽相同。自己的四环素牙如何美白?详细可与美联臣口腔四环素牙美白医生进行在线咨询沟通。
C:德国vita美容冠——7天拥有明星般的亮白牙齿
美容冠适用于一切对牙齿色泽和形态不满意:中重度四环素牙、氟斑牙、牙齿颜色难看,牙齿排列不齐、牙齿稀疏、牙齿拥挤、烤瓷牙失败以及其它想要牙齿更的人群。More
D: 德国VITA超薄瓷贴面——无需磨牙、无需麻醉、0.2mm超薄,轻松贴出牙齿“光”“感”“透”“白”More
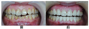
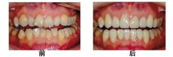
美联臣口腔四环素牙美白前后对比图

四环素牙美白Tips:同样的技术方法,由不同医生操作、用在不同人身上效果都可能存在一定个体差异。详细的术前沟通与医患配合十分重要。<<<点击咨询美联臣氟斑牙美白医生。