


德国即刻种植牙是目前疗效很好的牙齿缺损修复技术,拔牙后即刻通过医学方式将与人体骨质兼容性高的人工牙根植入缺牙区的牙槽骨内,再在其上镶覆牙冠,完整恢复牙齿功能和面部美观;具有稳固牢靠、舒适美观、安全快捷、无异物感、不伤健康邻牙等独特优势,受到追求生活品质的缺牙患者青睐。MORE
猜你想问:种植牙技术成熟吗安不安全?与传统镶牙方式相比种植牙有什么优点?点击在线咨询问问石家庄美联臣口腔种植牙医生吧!德国即刻种植牙适用人群:
外伤性缺失牙、增龄性缺失牙等,只要缺牙区周围有足够软组织且无明显炎症、牙槽骨无明显缺损及骨折,均可通过德国即刻种植牙进行修复。
医生提示:德国即刻种植牙及其他品牌种植牙的适用与否,需要结合患者牙槽骨骨质骨量具体情况确定,详细可与美联臣口腔种植牙医生进行在线咨询沟通。

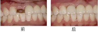
美联臣口腔即刻种植牙对比图:

牙齿种植Tips:种植牙虽是目前国际公认的缺失牙修复方式,但对医患双方的要求都较高,点击咨询美联臣种植牙医生详细了解。
6种先进种植体:
韩国奥齿泰osstem系统:连续多年韩国销量靠前,适合亚洲人体质,价格便宜。
美国BISIC种植牙系统:独有的即拔即种的即刻种植方式,疗程短,更加安全方便。
瑞典NobelGuide系统:根据患者口腔CT断层扫描数据创建手术模板,数字化种植体系。
瑞士iTi种植系统:不伤邻牙,无异物感,更易清洁,同时保障牙齿功能、舒适、健康和美观。
美国3I种植系统:融合多种先进技术和专业设计,表面处理技术独特先进,轻松舒适。
德国BEGO种植系统:历史悠久,临床使用经验丰富,具有简单、快捷、安全等优势。
热门问答:美联臣口腔种植牙多少钱一颗?点击在线咨询进入不同种类种植牙价格官方解答。