石家庄牙黄怎么快速变白
文章来源:石家庄美联臣精品美容牙科 更新时间:2013-10-09

石家庄牙黄怎么快速变白?因为爱美在乎形象,石家庄不少人都为一口黄牙苦恼,怎么让自己的黄牙齿变白一直是他们心头的大事。石家庄美联臣医疗美容医院精品美容牙科,为您揭晓石家庄牙黄怎么快速变白。


【牙黄怎么形成】牙黄的形成原因主要有遗传天生、外在色素侵蚀、牙齿病变三种。要了解石家庄牙黄怎么快速变白,首先要知道自己的牙黄是怎么产生的。


【石家庄牙黄怎么快速变白】<黄牙美白过程/时间/价格……>

让黄牙齿快速变白方法1——英国恒温美白:对于由咖啡渍、烟斑、茶垢等外源性色素导致的牙黄,可轻松舒适地使牙齿变白。<更多详情可点击在线咨询,牙齿美白医生将为您详细解答>

让黄牙齿快速变白方法2——美国Beyond冷光牙齿美白:采用经30层光学镜片特殊处理的低温冷激光,使亲水性美白剂和牙齿色素快速反应,45分钟即可使牙齿变白。

让黄牙齿快速变白方法3——德国VITA美容冠:一次性使牙齿提高7-14个VITA色阶,使牙齿像明星一样亮白闪耀,言谈笑语间即成为焦点;牙齿变白后终生不染色;牙黄快速变白只需1周前后到院2次。

让黄牙齿快速变白方法4——德国VITA超薄瓷贴面:融合国际先进的美牙技术及现代3D超薄制作工艺,按照美牙者的牙齿状况量齿定做;采用进口高质瓷,自然光泽,令牙齿焕然一新。<更多详情可点击在线咨询,牙齿美白医生将为您详细解答>

     

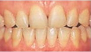
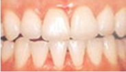
美联臣黄牙美白真实案例


石家庄牙黄怎么快速变白?石家庄美联臣医疗美容医院精品美容牙科医生温馨提示,想让牙黄快速变白必须找对黄牙形成原因,采用对应方法。牙齿黄怎么办?点击<在线咨询>让牙齿美白医生为您分析牙黄原因、制定牙齿美白方案!

免费咨询热线
在线咨询QQ咨询
美联臣精品美容牙科

石家庄苏亚美联臣医疗美容医院 版权所有冀ICP备11007131号-7

互联网医疗保健信息服务复核同意书  冀卫网审字(2013)第25号

石家庄苏亚美联臣医院地址:中国 石家庄 桥西区裕华西路8号美牙热线:4008-277-877

河北网监电子标识
Powered by AKCMS