

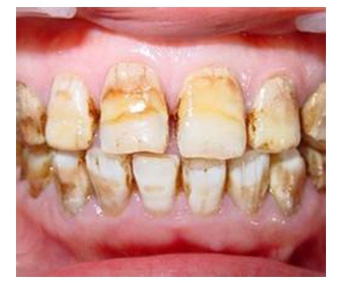
氟斑牙是一种典型的内源性色素牙,也就是由牙齿内部着色而引起的牙齿染色,如果不到正规医院进行及时的美白治疗,氟斑牙所呈现的色块会逐渐增大、加深,严重时则会出现牙釉质的实质性缺损即脱落。
·氟斑牙三宗罪
1.牙齿着色:不同程度的氟斑牙牙釉质有白垩色或褐色的斑块,非常有损形象。
2.牙齿缺损:氟斑牙有可能并发有牙釉质的实质性缺损,导致牙齿表面凹凸不平。
3.引发全身性疾病:严重时会有骨骼的增殖性变化,诱发腰、腿和全身关节症状。

猜你想问:氟斑牙美白有年龄限制吗?洗牙、喷砂能不能美白氟斑牙?点击在线咨询问问石家庄美联臣口腔氟斑牙美白医生吧!
·氟斑牙如何美白?哪种方法适合自己呢?
针对氟斑牙的不同程度,石家庄美联臣口腔的医生所选择的牙齿美白方式也会有所不同:
A:美国beyond冷光美白——30分钟黑牙黄牙一打光
冷光美白能够轻松解决一般外因性色素牙(咖啡、茶渍、烟渍沉积、槟榔染色)、中轻度四环素牙、氟斑牙、药物性变色牙、遗传性黄牙等外源性和内源性牙齿颜色难看问题。让您美牙舒心,用牙放心,笑容更添自信心!More
B:英国恒温美白——零敏感,快速,有效
石家庄美联臣口腔牙医介绍说,恒温美白整个过程由专业医生操作完成,大约需要一个小时。治疗过程中没有特殊感觉,安全无损害,效果提高5~14vita白阶,长期效果至少维持两、三年。More
医生提示:针对氟斑牙的不同程度及患者年龄、健康状况等,氟斑牙美白需要采用的方法与价格也不尽相同。自己的氟斑牙如何美白?详细可与美联臣口腔氟斑牙美白医生进行在线咨询沟通。
C:德国vita美容冠——7天拥有明星般的亮白牙齿
美容冠适用于一切对牙齿色泽和形态不满意:中重度四环素牙、氟斑牙、牙齿颜色难看,牙齿排列不齐、牙齿稀疏、牙齿拥挤、烤瓷牙失败以及其它想要牙齿更的人群。对于氟斑牙,可达到终生美白效果。More
D: 德国VITA超薄瓷贴面——无需磨牙、无需麻醉、0.2mm超薄,轻松贴出牙齿“光”“感”“透”“白”More
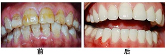
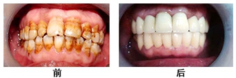
美联臣口腔氟斑牙美白前后对比图

氟斑牙美白Tips:同样的技术方法,由不同医生操作、用在不同人身上效果都可能存在一定个体差异。详细的术前沟通与医患配合十分重要。<<<点击咨询美联臣氟斑牙美白医生。